您的位置: 网站首页 >> 产品中心 >> 细胞 >> 原代细胞 > HN;人神经细胞(原代细胞)
产品名称:

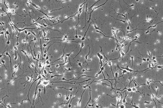
HN;人神经细胞(原代细胞)

产品型号: 产品时间: 2023-03-27
中枢神经系统的组织由两类细胞组成,这些细胞可大致分类为神经元和神经胶质。HN;人神经细胞(原代细胞)是大脑的解剖学,功能和营养单位[1]。尽管在大小和形状上存在很大差异,但所有神经元都具有共同的形态特征,这是高度复杂的通信网络的关键要素。神经元是动态极化细胞,其充当神经系统的主要信号传导单元。
ScienCell:1520

产品概述

产品名称:HN;人神经细胞(原代细胞)​

​ScienCell:1520

5×10^5个细胞/瓶

来自ScienCell研究实验室的HN是从人脑中分离出来的。HN在P0冷冻保存并冷冻。每个小瓶含有>1×10^6个细胞,1ml体积。HN的特征在于具有对神经丝,MAP2和β-微管蛋白III特异性的抗体的免疫荧光。HN对HIV-1,HBV,HCV,支原体,细菌,酵母和真菌均为阴性。HN保证在ScienCell研究实验室提供的条件下进一步培养; 然而,由于细胞不在培养物中增殖,因此不建议将HN用于扩增或长期培养。​​​​

​该产品仅供研究使用。它未被批准用于人类,动物或体外诊断程序。​

经检测无支原体、细菌、酵母和真菌污染

​​​

中枢神经系统的组织由两类细胞组成,这些细胞可大致分类为神经元和神经胶质。神经元是大脑的解剖学,功能和营养单位[1]。尽管在大小和形状上存在很大差异,但所有神经元都具有共同的形态特征,这是高度复杂的通信网络的关键要素。神经元是动态极化细胞,其充当神经系统的主要信号传导单元。人脑含有大约1×10 ^ 11个神经元,每个神经元能够接触至少10,000个其他神经元[2]。

肝癌SK-Hep-1
人神经上皮瘤细胞
人神经母细胞瘤细胞
人卵巢癌细胞
人胸膜瘤细胞

公司优势:
1)质量:我司提供的的细胞为世界ATCC和Sciencell
2)价格:价格实惠,量大从优,产品价格随时会变动,实时报价还请来电获取。
4)服务:提供完整的售前、售后和售中服务。售后到底

 

​在接收时将细胞从干冰直接并立即转移至液氮,并将细胞保持在液氮中直至实验需要细胞培养。

晅科生物致力于为国内科研用户提供*质的产品,完善的服务。帮助您实验顺利。视天气状况和运输距离远近,公司与客户协商

 

晅科生物为研究界提供各种高质量的正常人和动物细胞,细胞培养基和试剂,基因分析工具,细胞衍生的分子生物学产品,基于细胞的检测试剂盒和干细胞产品。

​客户在细胞培养过程中,有任何技术问题可以联系售后服务

​客户应具有一定细胞培养知识与经验,并具备基本实验设备,如细胞培养实验室、无菌操作台、CO2培养箱,倒置显微镜等;还应准备好相应的无菌培养基、血清、双抗、细胞培养瓶、培养板等。

 

如需订购HN;人神经细胞(原代细胞)​​​​,请联系我们。

此外公司还提供:

人胶质瘤细胞
人成神经细胞瘤细胞SH-SY5Y
大鼠乳腺癌细胞
人子宫颈鳞癌细胞
人乳腺腺癌细胞

留言框

  • 产品:

  • 您的单位:

  • 您的姓名:

  • 联系电话:

  • 常用邮箱:

  • 省份:

  • 详细地址:

  • 补充说明:

  • 验证码:

    请输入计算结果(填写阿拉伯数字),如:三加四=7
分享到:
版权所有©2019 上海晅科生物科技有限公司 备案号:京ICP证000000号
  • 扫一扫,关注我们