您的位置: 网站首页 >> 产品中心 >> >> 抗体 > 磷酸化蛋白激酶AKT1抗体
产品名称:

磷酸化蛋白激酶AKT1抗体

产品型号: 产品时间: 2023-03-08
磷酸化蛋白激酶AKT1抗体也称为蛋白激酶B(PKB),是一种57kDa丝氨酸/苏氨酸蛋白激酶。Akt有三种哺乳动物亚型:Akt1(pkb-alpha)、Akt2(pkb-beta)和Akt3(pkb-gamma),其中Akt2和Akt3与Akt1亚型约82%相同。每个亚型都有一个Pleckstrin同源结构域、一个激酶结构域和一个羧基末端调节结构域。初是从逆转录病毒Akt8中克隆出来的。

产品概述

英文名称:Anti-phospho-AKT1 (Tyr474)​

中文名称:磷酸化蛋白激酶AKT1抗体

抗体来源:兔

克隆类型:多克隆

交叉反应:人、大鼠、小鼠、鸡、狗、猪、牛、兔、羊

产品应用:WB=1:500-2000 ELISA=1:500-1000 IHC-P=1:400-800 IHC-F=1:400-800 Flow-Cyt=1μg/Test ICC=1:100-500 IF=1:100-500(石蜡切片需做抗原修复)  ​

尚未在其他应用程序中测试。

用户终应确定合适稀释浓度。

分子量:56kDa

细胞定位:细胞核 细胞浆 细胞膜

状态:冻干或液体

浓度:1mg/ml

来源于:KLH conjugated synthesised phosphopeptide derived from human AKT1 around the phosphorylation site of Tyr474:FS(p-Y)SA ​

亚型:IgG

纯化方法:affinity purified by Protein A

储存液:0.01M TBS(pH7.4) with 1% BSA, 0.03% Proclin300 and 50% Glycerol.

​别    名:AKT1 (phospho Y474); AKT1(phospho-Tyr474); AKT3 (phospho Y473); p-AKT3 (phospho Y473); phospho-AKT1(Tyr474); phospho-AKT2 (Tyr475); AKT1(phospho Tyr474); AKT2 (phospho Tyr475); AKT3(phospho Tyr473); AKT 1; AKT; AKT1; AKT-1; AKT1_HUMAN; C AKT; cAKT; MGC9965; MGC99656; Oncogene AKT1; PKB; PKB alpha; PKB-ALPHA; PRKBA; Protein Kinase B Alpha; Protein kinase B; Proto-oncogene c-Akt; RAC Alpha; RAC alpha serine/threonine protein kinase; RAC; RAC PK Alpha; Rac protein kinase alpha; RAC Serine/Threonine Protein Kinase; RAC-alpha serine/threonine-protein kinase; RAC-PK-alpha; v akt murine thymoma viral oncogene homolog 1; vAKT Murine Thymoma Viral Oncogene Homolog 1. ​

保存条件:在-20°C下保存一年。避免重复冻融循环。冻干抗体在室温下至少稳定一个月,并在-20°C下保持一年以上。当在无菌pH7.4 0.01M PBS或抗体稀释剂中重组时,抗体在2-4°C下至少稳定两周。

产品介绍

Akt,也称为蛋白激酶B(PKB),是一种57kDa丝氨酸/苏氨酸蛋白激酶。Akt有三种哺乳动物亚型:Akt1(pkb-alpha)、Akt2(pkb-beta)和Akt3(pkb-gamma),其中Akt2和Akt3与Akt1亚型约82%相同。每个亚型都有一个Pleckstrin同源(ph)结构域、一个激酶结构域和一个羧基末端调节结构域。Akt初是从逆转录病毒Akt8中克隆出来的,是许多信号转导途径的关键调节因子。它对细胞增殖和细胞活性的严格控制是多种多样的;在许多类型的癌症中,AKT的过度表达或不适当的激活已经被发现。Akt介导磷脂酰肌醇3激酶(一种由生长因子、细胞因子和胰岛素激活的脂质激酶)的许多下游事件。PI3激酶将Akt招募到膜上,在膜上被pdk1磷酸化激活。一旦磷酸化,Akt从细胞膜分离,并磷酸化细胞质和细胞核中的靶点。​​

功能

AKT1是3种密切相关的丝氨酸/苏氨酸蛋白激酶(AKT1、AKT2和AKT3)之一,称为AKT激酶,它调节许多过程,包括代谢、增殖、细胞存活、生长和血管生成。这是通过一系列下游底物的丝氨酸和/或苏氨酸磷酸化来介导的。到目前为止,已有超过100种候选底物被报道,但对大多数底物,还没有报道亚型特异性。Akt通过调节胰岛素诱导的SLC2A4/GLUT4葡萄糖转运蛋白在细胞表面的易位来调节葡萄糖摄取。在“ser-50”处磷酸化ptpn1可负性调节其磷酸酶活性,防止胰岛素受体的去磷酸化和胰岛素信号的减弱。tbc14d4的磷酸化触发这种效应器与抑制性14-3-3蛋白的结合,这是胰岛素刺激葡萄糖转运所必需的。Akt还通过磷酸化“Ser-21”处的GSK3A和“Ser-9”处的GSK3B来调节糖原形式的葡萄糖储存,从而抑制其激酶活性。Akt磷酸化GSK3亚型也被认为是细胞增殖的一种机制。Akt也通过MAP3K5(凋亡信号相关激酶)的磷酸化调节细胞存活。‘ser-83’的磷酸化降低氧化应激刺激的MAP3K5激酶活性,从而阻止凋亡。Akt通过在“ser-939”和“thr-1462”处磷酸化tsc2来介导胰岛素刺激的蛋白质合成,从而激活mtorc1信号,并导致4e-bp1的磷酸化和rps6kb1的激活。Akt参与Foxo因子(转录因子叉头家族)成员的磷酸化,导致14-3-3蛋白结合和细胞质定位。特别地,foxo1在“thr-24”、“ser-256”和“ser-319”被磷酸化。FoxO3和FoxO4在等效位置被磷酸化。Akt在调节NF-kappa-b依赖基因转录中起着重要作用,并对CREB1(环AMP(cAMP)-反应元件结合蛋白)的活性起到积极的调节作用。Creb1的磷酸化诱导了bcl2和mcl1等促生存基因转录所必需的辅助蛋白的结合。Akt在ATP柠檬酸裂合酶(acly)上磷酸化“ser-454”,从而潜在地调节acly活性和脂肪酸合成。通过“ser-273”的磷酸化激活环核苷酸磷酸二酯酶(pde3b)的3b亚型,从而降低环AMP水平和抑制脂解。磷酸化“ser-318”上的pikfyve,导致pi(3)p-5活性增加。rho-gtpase激活蛋白dlc1是另一种底物,其磷酸化与调节细胞增殖和细胞生长有关。在成人神经发生过程中,Akt作为Akt-mtor信号通路的关键调节剂,控制新生神经元整合过程的节奏,包括正确的神经元定位、树突发育和突触形成。向磷脂酰肌醇3-激酶(pi(3)k)下游发送信号,介导血小板衍生生长因子(pdgf)、表皮生长因子(egf)、胰岛素和胰岛素样生长因子I(igf-i)等各种生长因子的作用。Akt介导了IGF-I的抗凋亡作用,这对于SPATA13介导的细胞迁移和粘附装配和分解的调节是*的。可能参与胎盘发育的调控。磷酸化STK4/MST1在“TH-120”和“THR—-77”,从而抑制其:激酶活性、核易位、自磷酸化和磷酸化FXO3的能力。磷酸化STK3/MST2在“THR -117”和“THR -334”导致其抑制:解理,激酶活性,TH-180的自磷酸化,结合RASSF1和核易位。磷酸化srpk2,增强其对srsf2和acin1的激酶活性,促进其核易位。磷酸化“ser-259”处的raf1并负性调节其活性。BAD的磷酸化刺激其促凋亡活性。​

​​​​​​​​​​

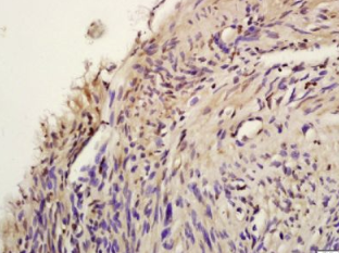
组织/细胞:人子宫肌层组织;4%多聚甲醛固定石蜡包埋;

抗原提取:柠檬酸缓冲液(0.01M,pH 6),15min煮沸,用3%过氧化氢阻断内源性过氧化物酶30min;37℃下阻断缓冲液(正常山羊血清)20 min;

孵育:抗磷-AKT1(Tyr474)多克隆抗体,未结合 1:200,在4°C下过夜,然后接合到二级抗体和DAB染色。

 

重要注意事项:

本产品仅用于研究用途,不用于人类、治疗或诊断应用。

公司优势:
1)质量:我司提供的的试剂为世界
2)价格:价格实惠,量大从优。
4)服务:提供完整的售前、售后和售中服务。售后到底

如需订购磷酸化蛋白激酶AKT1抗体​​​,请联系我们。

Anti-AT/AGT(Angiotenogen)  血管紧张素原抗体
Anti-AT1R(Angiotensin II Type 1 Receptor)  血管紧张素Ⅱ-1型受体抗体
Anti-ATF1 (Activating Transcription Factor1)  活化复制因子1抗体
Anti-ATF2 (Activating Transcription Factor2)  活化复制因子2抗体
Anti-ATF3 (Activating Transcription Factor3)  活化转录因子3抗体
Anti-B7-H1/PDL1/CD274(programmed death ligand 1)  程序性死亡配体1抗体
Anti-B7-H4 ( V-set domain containing T cell activation inhibitor 1 )  B7H4抗体

留言框

  • 产品:

  • 您的单位:

  • 您的姓名:

  • 联系电话:

  • 常用邮箱:

  • 省份:

  • 详细地址:

  • 补充说明:

  • 验证码:

    请输入计算结果(填写阿拉伯数字),如:三加四=7
分享到:
版权所有©2019 上海晅科生物科技有限公司 备案号:京ICP证000000号
  • 扫一扫,关注我们