您的位置: 网站首页 >> 产品中心 >> >> 抗体 > 缓激肽B2受体抗体(BDKRB2)
产品名称:

缓激肽B2受体抗体(BDKRB2)

产品型号: 产品时间: 2023-03-08
缓激肽B2受体目前主要在糖尿病肾病的发生、发展中起着重要作用。缓激肽B2受体抗体(BDKRB2)应用:ELISA=1:500-1000 IHC-P=1:100-500 IHC-F=1:100-500 ICC=1:100-500 IF=1:100-500

产品概述

英文名称:Anti-BDKRB2​

中文名称:缓激肽B2受体抗体(BDKRB2)

抗体来源:兔子

克隆类型:多克隆

交叉反应:人、小鼠、大鼠

产品应用:ELISA=1:500-1000 IHC-P=1:100-500 IHC-F=1:100-500 ICC=1:100-500 IF=1:100-500(石蜡切片需做抗原修复)

分  子 量:43kDa

​细胞定位:细胞膜

状态:冻干或液体

浓度:1mg/ml

来源于:KLH conjugated synthetic peptide derived from human Bdkrb2:51-150/391 <Extracellular>

亚型:IgG

纯化方法:affinity purified by Protein A

储存液:0.01M TBS(pH7.4) with 1% BSA, 0.03% Proclin300 and 50% Glycerol.

别    名:B2; B2 bradykinin receptor; B2BKR; B2BRA; B2R; BDKR B2; BDKRB 2; Bdkrb2; BK 2; BK 2 receptor; BK R2; BK2; BK2 receptor; BK2R; BKR 2; BKR2; BR B2; Bradykinin receptor b2; Bradykinin receptor beta 2; BRB 2; BRB2; DKFZp686O088; Kinin B2 Bradykinin receptor beta 2; B2R.

保存条件:在-20°C下保存一年。避免反复冻融。冻干抗体在室温下至少稳定一个月,并在-20°C下保持一年以上。当在无菌pH7.4 0.01M PBS或抗体稀释剂中重组时,抗体在2-4°C下至少稳定两周。

 

​产品介绍:

缓激肽增加血管通透性,扩张血管,收缩非血管平滑肌,并引起疼痛。本品检测缓激肽受体。该受体与激活磷脂酰肌醇钙第二信使系统的G蛋白有关。

 

缓激肽B2受体在血液、大脑、眼睛、肾脏、肝脏、肺、前列腺、皮肤、小肠、滑膜、子宫和血管中有表达。EST已从结肠、结缔组织、心脏、心脏/黑素细胞/子宫、肾脏、肺、胎盘和甲状腺库中分离出来。

 

功能:

缓激肽受体。与激活磷脂酰肌醇钙第二信使系统的G蛋白有关。

 

子单元:

与pecam1和gnaq形成复合体。与pecam1交互。

 

亚细胞位置:

细胞膜;多道膜蛋白。

 

组织特异性:

无处不在的。广泛分布于正常的平滑肌组织和神经元。

 

相似性:

属于G蛋白偶联受体1家族。缓激肽受体亚家族。BDKRB2亚家族。

 

重要提示:

本产品仅用于研究用途,不用于人类、治疗或诊断应用

缓激肽B2受体目前主要在糖尿病肾病的发生、发展中起着重要作用。

​​

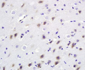
组织/细胞:大鼠脑组织;4%多聚甲醛固定石蜡包埋;

抗原提取:柠檬酸缓冲液(0.01M,pH 6),15min煮沸,用3%过氧化氢阻断内源性过氧化物酶30min;37℃下阻断缓冲液(正常山羊血清)20 min;

孵育:抗bdkrb2/b2r多克隆抗体,未结合1:200,在4°C下过夜,然后与二级抗体结合,DAB染色。

公司优势:
1)质量:我司提供的的试剂为世界。
2)价格:价格实惠,量大从优。
4)服务:提供完整的售前、售后和售中服务。售后到底。

如需订购缓激肽B2受体抗体(BDKRB2)​,请联系我们。

Anti-MSLN (mesothelin)  间皮素抗体
anti-MUC5AC/Mucin 5AC(Gastric Mucin M1)  胃粘液素抗体
Anti-MTR-1A (Melatonin receptor-1A)  褪黑素受体/松果体素受体抗体
Anti-mucin-1/Muc-1/CD227 antigen (Epithelial Membrane Antigen )  粘蛋白-1/上皮膜抗原抗体

留言框

  • 产品:

  • 您的单位:

  • 您的姓名:

  • 联系电话:

  • 常用邮箱:

  • 省份:

  • 详细地址:

  • 补充说明:

  • 验证码:

    请输入计算结果(填写阿拉伯数字),如:三加四=7
分享到:
版权所有©2019 上海晅科生物科技有限公司 备案号:京ICP证000000号
  • 扫一扫,关注我们