您的位置: 网站首页 >> 产品中心 >> >> 抗体 > 血管紧张素转换酶ACE抗体
产品名称:

血管紧张素转换酶ACE抗体

产品型号: 产品时间: 2023-03-08
血管紧张素转换酶参与催化血管紧张素I转化为生理活性肽血管紧张素II。血管紧张素II是一种有效的血管加压素和醛固酮刺激肽,控制血压和液体电解质平衡。这种酶在肾素-血管紧张素系统中起关键作用。血管紧张素转换酶(ace)通过释放末端his-leu将血管紧张素I转化为血管紧张素II,这导致血管紧张素的血管收缩活性增加。也能灭活缓激肽,一种有效的血管扩张剂。血管紧张素转换酶ACE抗体

产品概述

英文名称:Anti-ACE

中文名称:血管紧张素转换酶ACE抗体

抗体来源:兔

克隆类型:多克隆

交叉反应:人、大鼠、小鼠、狗、猪、牛、羊​

产品应用:WB=1:500-2000 ELISA=1:500-1000 IHC-P=1:400-800 IHC-F=1:400-800 Flow-Cyt=3ug/Test ICC=1:100-500 IF=1:100-500(石蜡切片需做抗原修复)  ​

尚未在其他应用程序中测试。

用户终应确定合适稀释浓度。

分子量:147kDa

细胞定位:细胞膜 分泌型蛋白 

状态:冻干或液体

浓度:1mg/ml

来源于:KLH conjugated synthetic peptide derived from human ACE1:801-900/1306 <Extracellular>

亚型:IgG

纯化方法:affinity purified by Protein A

储存液:0.01M TBS(pH7.4) with 1% BSA, 0.03% Proclin300 and 50% Glycerol.

​别    名:Angiotensin Converting Enzyme 1; ACE; ACE-T; Angiotensin-converting enzyme isoform 1precursor; Dipeptidyl carboxy peptidase 1; Kininase II; ACE-1;testis-specific isoform precursor. ACE 1; ACE T; ACE1; Angiotensin converting enzyme somatic isoform; Angiotensin converting enzyme testis specific isoform; Angiotensin I converting enzyme; Angiotensin I converting enzyme 1; Angiotensin I converting enzyme peptidyl dipeptidase A 1; Carboxycathepsin; CD 143; CD143; CD143 antigen; DCP 1; DCP; DCP1; Dipeptidyl carboxypeptidase 1; MVCD3; Peptidase P; Peptidyl dipeptidase A; Testicular ECA; ACE_HUMAN.  

保存条件:在-20°C下保存一年。避免重复冻融循环。冻干抗体在室温下至少稳定一个月,并在-20°C下保持一年以上。当在无菌pH7.4 0.01M PBS或抗体稀释剂中重组时,抗体在2-4°C下至少稳定两周。

产品介绍

血管紧张素转换酶参与催化血管紧张素I转化为生理活性肽血管紧张素II。血管紧张素II是一种有效的血管加压素和醛固酮刺激肽,控制血压和液体电解质平衡。这种酶在肾素-血管紧张素系统中起关键作用。血管紧张素转换酶(ace)通过释放末端his-leu将血管紧张素I转化为血管紧张素II,这导致血管紧张素的血管收缩活性增加。也能灭活缓激肽,一种有效的血管扩张剂。ACE有两种形式,一种是170kD体细胞形式,另一种是90kD生发形式。体细胞形式由内皮细胞(特别是肺毛细血管和小动脉的内皮细胞)、上皮细胞(特别是近端肾小管和小肠的上皮细胞)、一些神经元细胞和一些巨噬细胞和T淋巴细胞表达。生发形式由精子表达。

 

功能:

通过释放末端HIS-LEU将血管紧张素I转化为血管紧张素II,这导致血管紧张素的血管收缩活性增加。也能灭活缓激肽,一种有效的血管扩张剂。还具有糖苷酶活性,通过切割GPI部分中的甘露糖连接从膜释放GPI锚定蛋白。

 

亚细胞位置:

血管紧张素转换酶,可溶性形式:分泌。

细胞膜;单通道I型膜蛋白。

 

组织特异性:

广泛表达,肺、肾、心脏、胃肠系统和前列腺中含量高。异型睾丸特异性在精母细胞和成人睾丸中表达。

 

翻译后修改:

由SER-1299上的CK2磷酸化;允许膜保持。

 

疾病:

ACE的遗传变异可能是缺血性卒中易感性(ischstr)[mim:601367]的原因,也称为脑血管意外或脑梗死。中风是一种急性神经事件,导致大脑神经组织死亡,导致运动、感觉和/或认知功能丧失。缺血性中风是由血管阻塞引起的,被认为是一种高度复杂的疾病,由一组具有多种遗传和环境危险因素的异质性疾病组成。

ACE缺陷是肾小管发育不全(RTD)的原因[MIM:267430]。RTD是一种常染色体隐性肾小管发育严重障碍,以持续性胎儿无尿和围产期死亡为特征,可能是由于早期发病的羊水过少(波特表型)所致的肺发育不良所致。

ACE基因变异与3型糖尿病(MVCD3)微血管并发症易感性相关[MIM:612624]。这些是由于糖尿病在许多组织和器官中发展的病理状况。包括糖尿病视网膜病变、导致终末期肾病的糖尿病肾病和糖尿病神经病变。糖尿病性视网膜病变仍然是糖尿病成人新发失明的主要原因。以血管通透性和组织缺血和血管生成增加为特征。

​本产品仅用于研究用途,不用于人类、治疗或诊断应用。​

​​​​​

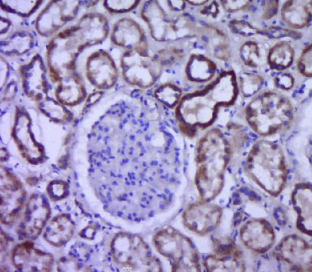
多聚甲醛固定,石蜡包埋(人肾组织);用柠檬酸钠缓冲液(PH6.0)煮沸15min;用3%过氧化氢阻断内源过氧化物酶20分钟;在37℃下阻断缓冲液(正常山羊血清)30min;抗体(ACE)多克隆抗体在1:400 OV下孵育。在4°C温度下进行Ernight,然后进行共轭二次20分钟,并进行DAB染色。

重要注意事项:

本产品仅用于研究用途,不用于人类、治疗或诊断应用。

公司优势:
1)质量:我司提供的的试剂为世界
2)价格:价格实惠,量大从优。
4)服务:提供完整的售前、售后和售中服务。售后到底

如需订购血管紧张素转换酶ACE抗体​​,请联系我们。

Anti-CD5  CD5抗体
Anti-CD54/ICAM-1(InteYTellular dhesion molecule 1/CD54 antigen;)  细胞间粘附分子-1抗体
Anti-ICAM-2/CD102(inteYTellular adhesion molecules-2)  细胞间粘附分子-2抗体
Anti-CD56/NCAM1(Neural Cell Adhesion Molecule 1)  神经细胞粘附分子1抗体(Elisa IP IHC 用)
Anti-CD56/NCAM1(Neural Cell Adhesion Molecule 1)  神经细胞粘附分子1抗体
Anti-CD62L (ELAM-1/L-Selectin )  L选择素抗体
anti-E-Selectin   E选择素抗体
Anti-CD68(Rabbit Anti-Mouse rat CD68 Palyclonal Antibody)  CD68抗体(用于大鼠、小鼠)

留言框

  • 产品:

  • 您的单位:

  • 您的姓名:

  • 联系电话:

  • 常用邮箱:

  • 省份:

  • 详细地址:

  • 补充说明:

  • 验证码:

    请输入计算结果(填写阿拉伯数字),如:三加四=7
分享到:
版权所有©2019 上海晅科生物科技有限公司 备案号:京ICP证000000号
  • 扫一扫,关注我们