您的位置: 网站首页 >> 产品中心 >> >> 抗体 > 水通道蛋白4抗体(Aquaporin 4)
产品名称:

水通道蛋白4抗体(Aquaporin 4)

产品型号: 产品时间: 2023-03-08
这个基因编码一个水通道蛋白家族的固有膜蛋白,在许多细胞的质膜中起着水选择性通道的作用。编码蛋白是大脑中主要的水通道蛋白。两个选择性剪接转录变异体编码*的亚型已经发现这个基因。水通道蛋白4抗体(Aquaporin 4)形成特定于水的通道。调节身体水分平衡和调节中枢神经系统内水流的渗透受体。

产品概述

英文名称:Anti-Aquaporin 4

中文名称:水通道蛋白4抗体(Aquaporin 4)

抗体来源:兔

克隆类型:多克隆

交叉反应:

产品应用:WB=1:500-2000 IHC-P=1:400-800 IHC-F=1:400-800 Flow-Cyt=1μg /test ICC=1:100-500 IF=1:100-500(石蜡切片需做抗原修复)  ​

尚未在其他应用程序中测试。

用户终应确定合适稀释浓度。

分子量:36kDa

细胞定位:细胞膜

状态:冻干或液体

浓度:1mg/ml

来源于:KLH conjugated synthetic peptide derived from human AQP4:271-323/323 <Cytoplasmic>

亚型:IgG

纯化方法:affinity purified by Protein A

储存液:0.01M TBS(pH7.4) with 1% BSA, 0.03% Proclin300 and 50% Glycerol.

​别    名:aquaporin 4; WCH4; Mercurial-insensitive water channel; MIWC; AQP 4; AQP4; Aquaporin4; HMIWC 2; HMIWC2; Mercurial insensitive water channel; MGC22454; MIWC; AQP4_HUMAN; Aquaporin-4; AQP-4. 

保存条件:在-20°C下保存一年。避免重复冻融循环。冻干抗体在室温下至少稳定一个月,并在-20°C下保持一年以上。当在无菌pH7.4 0.01M PBS或抗体稀释剂中重组时,抗体在2-4°C下至少稳定两周。

产品介绍

这个基因编码一个水通道蛋白家族的固有膜蛋白,在许多细胞的质膜中起着水选择性通道的作用。编码蛋白是大脑中主要的水通道蛋白。两个选择性剪接转录变异体编码*的亚型已经发现这个基因。[provided by RefSeq, Jul 2008]

功能

形成特定于水的通道。调节身体水分平衡和调节中枢神经系统内水流的渗透受体。

亚单位

Homotetramer。包含MLC1、TRPV4、Hepacam和ATP1B1的复合体的一部分。

通道蛋白(Channel Protein)
水通道蛋白(AQPs)广泛分布于机体不同组织器官中,脑组织中的水通道蛋白主要为AQP4.
AQP-4蛋白主要在星型胶质细胞和室管膜细胞内表达,尤其在于毛细血管和软脑膜直接接触的胶质细胞上及血管周表达丰富.
水通道蛋白4的分布特点与其功能密切相关,可能是脑脊液重吸收、渗透压调节、脑水肿形成等生理、病理过程的分子生物学基础.研究水通道蛋白4可为脑水肿及水代谢疾病提供分子水平的理论依据,同时为临床治疗脑水肿及水代谢疾病提供一

​​​​​​​​

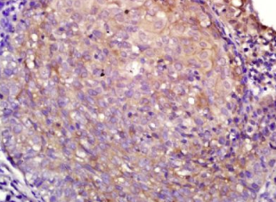
组织/细胞:人喉癌;4%多聚甲醛固定石蜡包埋;

抗原提取:柠檬酸缓冲液(0.01M,pH 6),15min煮沸,用3%过氧化氢阻断内源性过氧化物酶30min;37℃下阻断缓冲液(正常山羊血清)20 min;

孵育:抗AQP4多克隆抗体,未结合 1:200,在4°C下过夜,然后与二级抗体 结合,DAB 染色。

 

重要注意事项:

本产品仅用于研究用途,不用于人类、治疗或诊断应用。

公司优势:
1)质量:我司提供的的试剂为世界
2)价格:价格实惠,量大从优。
4)服务:提供完整的售前、售后和售中服务。售后到底

如需订购水通道蛋白4抗体(Aquaporin 4)​​​​​​​,请联系我们。

Anti-β-Amyloid(1-42)  β淀粉样肽(1-42)抗体
Anti-Ang-Ⅱ (Angiotensin Ⅱ)  血管紧张素II抗体
Anti-Angiotensin II receptor (AngⅡ R)  血管紧张素Ⅱ受体抗体
Anti-ANGPTL1/ANG-1 (Angiopoietin-like Protein 1)  血管位蛋白样1/血管生成素样蛋白-1抗体
Anti-ANGPTL2/ANG-2 (Angiopoietin-like Protein 2)  血管位蛋白样2/血管生成素样蛋白-2抗体
Anti-ANGPTL4/ANG-4 (Angiopoietin-like Protein 4)  血管位蛋白样4/血管生成素样蛋白-4抗体
Anti-Annexin A  膜粘连蛋白-A抗体

留言框

  • 产品:

  • 您的单位:

  • 您的姓名:

  • 联系电话:

  • 常用邮箱:

  • 省份:

  • 详细地址:

  • 补充说明:

  • 验证码:

    请输入计算结果(填写阿拉伯数字),如:三加四=7
分享到:
版权所有©2019 上海晅科生物科技有限公司 备案号:京ICP证000000号
  • 扫一扫,关注我们