您的位置: 网站首页 >> 产品中心 >> >> 抗体 > APAF1(NT)凋亡蛋白活性因子-1抗体(N端)
产品名称:

APAF1(NT)凋亡蛋白活性因子-1抗体(N端)

产品型号: 产品时间: 2023-03-08
APAF1(NT)凋亡蛋白活性因子-1抗体(N端)这个基因编码一种启动细胞凋亡的细胞质蛋白。这种蛋白包含几个WD-40结构域、一个半胱天冬酶募集结构域CARD和一个ATP酶结构域NB-ARC的拷贝。结合细胞色素c和datp后,该蛋白形成寡聚体凋亡体。凋亡体结合并分裂半胱天冬酶9前蛋白,释放其成熟的活性形式。激活的半胱天冬酶9刺激随后的半胱天冬酶级联。选择性剪接导致几种转录变体编码不同的亚型。

产品概述

英文名称:Anti-APAF1(NT)​

中文名称:APAF1(NT)凋亡蛋白活性因子-1抗体(N端)

抗体来源:兔子

克隆类型:多克隆

交叉反应:人,小鼠,大鼠、鸡、狗、牛、马​

产品应用:ELISA=1:500-1000 IHC-P=1:400-800 IHC-F=1:400-800 Flow-Cyt=0.2ug/test IF=1:100-500(石蜡切片需做抗原修复)

尚未在其他应用程序中测试。

用户终应确定合适稀释浓度。

分子量:137kDa

细胞定位:细胞浆

状态:冻干或液体

浓度:1mg/ml

来源于:KLH conjugated synthetic peptide derived from human Apaf-1:13-80/1248

亚型:IgG

纯化方法:affinity purified by Protein A

储存液:0.01M TBS(pH7.4) with 1% BSA, 0.03% Proclin300 and 50% Glycerol.

​别    名:APAF 1; APAF1; APAF-1; Apoptotic peptidase activating factor 1; Apoptotic protease activating factor; CED 4; CED4; KIAA0413; APAF_HUMAN; Apoptotic protease-activating factor 1.

保存条件:在-20°C下保存一年。避免重复冻融循环。冻干抗体在室温下至少稳定一个月,并在-20°C下保持一年以上。当在无菌pH7.4 0.01M PBS或抗体稀释剂中重组时,抗体在2-4°C下至少稳定两周。

产品介绍

这个基因编码一种启动细胞凋亡的细胞质蛋白。这种蛋白包含几个WD-40结构域、一个半胱天冬酶募集结构域(CARD)和一个ATP酶结构域(NB-ARC)的拷贝。结合细胞色素c和datp后,该蛋白形成寡聚体凋亡体。凋亡体结合并分裂半胱天冬酶9前蛋白,释放其成熟的活性形式。激活的半胱天冬酶9刺激随后的半胱天冬酶级联,使细胞凋亡。选择性剪接导致几种转录变体编码不同的亚型。[由RefSeq提供,2008年7月]。

 

功能:

寡聚体APAF-1介导细胞色素c依赖的半胱天冬酶-9(APAF-3)的自催化激活,导致半胱天冬酶-3的激活和凋亡。此激活需要ATP。亚型6诱导细胞凋亡的效果较差。

 

Subunit:

单体。细胞色素c和datp结合后寡聚。寡聚体apaf-1和pro-caspase-9通过各自的NH2终端卡域相互结合,从复合体中释放出连续成熟的caspase-9。前半胱天冬酶-3通过与前半胱天冬酶-9的相互作用被招募到apaf-1-pro-caspase-9复合体中。与APIP交互。(通过卡和nacht域)与naip/birc1(通过nacht域)交互。

 

亚细胞位置:

细胞质。

 

组织特异性:

无处不在的。在成人脾脏和外周血白细胞以及胎儿脑、肾和肺中的高表达水平。亚型1在心脏、肾脏和肝脏中表达。

 

相似性:

包含1个卡域。

包含1个NB-ARC域。

包含13个WD重复。

 

重要注意事项:

Apaf-1 (Apoptosis protease activating factor-1)调节细胞色素C依赖的Caspase-9原的自动催化活性,导致Caspase-3 的激活和引起凋亡。
Apaf-1在成年人的脾脏、外周血白细胞、肾脏、肺和胎儿脑、肾、肺中高水平表达。

本产品仅用于研究用途,不用于人类、治疗或诊断应用。

​​​​​​​

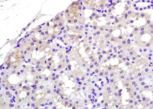
组织/细胞:大鼠肾组织;4%多聚甲醛固定石蜡包埋;

抗原提取:柠檬酸缓冲液(0.01M,pH 6),15min煮沸,用3%过氧化氢阻断内源性过氧化物酶30min;37℃下阻断缓冲液(正常山羊血清)20 min;

孵育:抗APAF1(NT)多克隆抗体,未结合1:200,在4°C下过夜,然后与二级抗体结合,DAB染色。

公司优势:
1)质量:我司提供的的试剂为世界。
2)价格:价格实惠,量大从优。
4)服务:提供完整的售前、售后和售中服务。售后到底。

如需订购APAF1(NT)凋亡蛋白活性因子-1抗体(N端)​​​,请联系我们。

Anti-PCNA(Proliferation Cell Nuclear Antigen)  增殖细胞核抗原抗体
anti-PDE4D(phosphodiesterase 4D)  磷酸二酯酶4D抗体
Anti-PDGF-A  血小板源性生长因子-A抗体
Anti-PDGF-B  血小板源性生长因子-B抗体
Anti-PDGF-BB((platelet derived growth factor-BB)  血小板源性生长因子-BB抗体

留言框

  • 产品:

  • 您的单位:

  • 您的姓名:

  • 联系电话:

  • 常用邮箱:

  • 省份:

  • 详细地址:

  • 补充说明:

  • 验证码:

    请输入计算结果(填写阿拉伯数字),如:三加四=7
分享到:
版权所有©2019 上海晅科生物科技有限公司 备案号:京ICP证000000号
  • 扫一扫,关注我们