您的位置: 网站首页 >> 产品中心 >> >> 抗体 > BarX2蛋白抗体
产品名称:

BarX2蛋白抗体

产品型号: 产品时间: 2023-03-08
BarX2蛋白抗体这个基因编码同源盒转录因子家族的一个成员。在成肌细胞融合和软骨形成过程中,小鼠体内一种高度相关的蛋白质已被证明能影响控制细胞粘附和肌动蛋白细胞骨架重塑的细胞过程。编码蛋白也可能在癌症进展中起作用。

产品概述

英文名称:Anti-BarX2​

中文名称:BarX2蛋白抗体

抗体来源:兔子

克隆类型:多克隆

交叉反应:人、小鼠、大鼠、狗、牛、马、羊​

产品应用:WB=1:500-2000 ELISA=1:500-1000 IHC-P=1:100-500 IHC-F=1:100-500 ICC=1:100-500 IF=1:100-500(石蜡切片需做抗原修复)

分  子 量:31kDa

​细胞定位:细胞核

状态:冻干或液体

浓度:1mg/ml

来源于:KLH conjugated synthetic peptide derived from human BarX2:81-180/279 ​

亚型:IgG

纯化方法:affinity purified by Protein A

储存液:0.01M TBS(pH7.4) with 1% BSA, 0.03% Proclin300 and 50% Glycerol.

别    名:BarH like homeobox 2; BarX 2; BARX homeobox; BARX homeobox 2; Barx2; BARX2_HUMAN; Homeobox protein BarH like 2; Homeobox protein BarH-like 2; MGC133368; MGC133369.

保存条件:在-20°C下保存一年。避免反复冻融。冻干抗体在室温下至少稳定一个月,并在-20°C下保持一年以上。当在无菌pH7.4 0.01M PBS或抗体稀释剂中重组时,抗体在2-4°C下至少稳定两周。

 

​产品介绍:

这个基因编码同源盒转录因子家族的一个成员。在成肌细胞融合和软骨形成过程中,小鼠体内一种高度相关的蛋白质已被证明能影响控制细胞粘附和肌动蛋白细胞骨架重塑的细胞过程。编码蛋白也可能在癌症进展中起作用。[参考文献编号:2008年7月]

 

功能:

转录因子。结合到DNA共识序列5’-YYTAATGRTTY-3”。可能控制中枢和周围神经系统胚胎发育过程中神经粘附分子(如L1或NG-cam)的表达。可能参与控制角质化上皮的粘附过程。

 

亚细胞位置:

原子核。

 

组织特异性:

在成人唾液腺中高度表达,在乳腺、肾脏和胎盘中低水平表达。

 

翻译后修改:

磷酸化的DNA损伤,可能由ATM或ATR。

 

相似性:

属于Bar Home Box家族。

包含1个同源盒DNA结合域。

 

重要提示:

本产品仅用于研究用途,不用于人类、治疗或诊断应用

​​

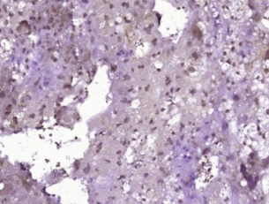
多聚甲醛固定,石蜡包埋(小鼠胎盘);经柠檬酸钠缓冲液(pH6.0)煮沸15min后获得抗原;用3%过氧化氢阻断内源过氧化物酶20分钟;阻断缓冲液(正常山羊血清)37℃30min;用(BARX2)多克隆抗体孵育L抗体,未结合,1:400,4°C下过夜,然后根据SP试剂盒(兔子)说明和DAB染色进行操作。

公司优势:
1)质量:我司提供的的试剂为世界。
2)价格:价格实惠,量大从优。
4)服务:提供完整的售前、售后和售中服务。售后到底。

如需订购BarX2蛋白抗体​,请联系我们。

Anti-Insulin  胰岛素抗体
Anti-Insulin Receptor-α(ISR-α)  胰岛素受体-α抗体
Anti-Insulin(1-51 protein)  胰岛素1-51蛋白抗体
Anti-Integrin α3β1  整合素α3β1抗体
Anti-Integrin α4β7/LPAM-1 (Lymphocyte Peyer’s patch Adhesion Molecule 1/Integrin alpha4,beta7)  整合素α4β7抗体

留言框

  • 产品:

  • 您的单位:

  • 您的姓名:

  • 联系电话:

  • 常用邮箱:

  • 省份:

  • 详细地址:

  • 补充说明:

  • 验证码:

    请输入计算结果(填写阿拉伯数字),如:三加四=7
分享到:
版权所有©2019 上海晅科生物科技有限公司 备案号:京ICP证000000号
  • 扫一扫,关注我们