英文名称:Anti-BNP
中文名称:脑钠素/利钠肽抗体(BNP)
抗体来源:兔子
克隆类型:多克隆
交叉反应:人、小鼠、大鼠
产品应用:ELISA=1:500-1000 IHC-P=1:100-500 IHC-F=1:100-500 IF=1:100-500(石蜡切片需做抗原修复)
分 子 量:3.5kDa
细胞定位:分泌型蛋白
状态:冻干或液体
浓度:1mg/ml
来源于:KLH conjugated synthetic peptide derived from human BNP 32:103-120/134
亚型:IgG
纯化方法:affinity purified by Protein A
储存液:0.01M TBS(pH7.4) with 1% BSA, 0.03% Proclin300 and 50% Glycerol.
别 名:BNP 32; Brain natriuretic peptide 32; Gamma brain natriuretic peptide; Natriuretic peptide brain type; Natriuretic peptide precursor B; Natriuretic peptides B; NPPB; NPPB protein; ANFB_HUMAN; Natriuretic peptides B.proBNP.
保存条件:在-20°C下保存一年。避免反复冻融。冻干抗体在室温下至少稳定一个月,并在-20°C下保持一年以上。当在无菌pH7.4 0.01M PBS或抗体稀释剂中重组时,抗体在2-4°C下至少稳定两周。
产品介绍:
脑钠肽(BNP)作为一种肽激素在血液中循环,具有利钠盐、血管扩张和肾素抑制的特性。BNP主要由左心室肌细胞分泌,以响应容量膨胀和压力过载。BNP属于结构相似的肽激素家族,包括心房钠尿肽(ANP)、BNP、C型钠尿肽(CNP)和尿扩张素。这些肽的特征是在两个半胱氨酸残基之间有一个共同的17氨基酸环结构和一个二硫键。这一环结构表明不同的利钠肽之间具有高度的同源性(17个氨基酸残基中的11个在每个利钠肽的环中具有同源性)。BNP是一种32氨基酸肽,在半胱氨酸残基cys10和cys26之间具有二硫键。在早期的研究中,已经证明血液中BNP浓度随着充血性心力衰竭的严重程度而增加。血液中bnp的定量测定为充血性心力衰竭的严重程度提供了客观指标。
功能:
心脏激素,可作为心脏内的旁分泌抗纤维化因子发挥作用。通过利尿、利尿、血管舒张以及抑制肾素和醛固酮分泌,在心血管内环境平衡中也起着关键作用。特异性结合并刺激NPR1受体的cgmp产生。结合清除受体NPR3。
亚细胞位置:
秘密的。
组织特异性:
大脑和心房也一样,但水平远低于ANP。
相似性:
属于利钠肽家族。
重要提示:
本产品仅用于研究用途,不用于人类、治疗或诊断应用
脑钠素主要是心脏激素,心脏作为内分泌器官释放脑钠素,调解体液及电解质内环境的恒定性。
B型利钠肽(钠尿肽)(B-typenatriureticpeptide,BNP),又称脑钠素或脑钠肽,因其有排钠利尿、内皮非依赖性的血管平滑肌作用而具有降压、抗心肌纤维化、影响神经内分泌系统等功效。
近来发现BNP在各种心血管疾病,尤其是心室功能不全、急性心肌梗死(ami)、高血压等疾病的诊断、治疗及预后等方面有重要意义,已引起临床工作者的高度重视
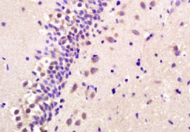
组织/细胞:大鼠脑组织;4%多聚甲醛固定石蜡包埋;
抗原提取:柠檬酸缓冲液(0.01M,pH 6),15min煮沸,用3%过氧化氢阻断内源性过氧化物酶30min;37℃下阻断缓冲液(正常山羊血清)20 min;
孵育:抗BNP多克隆抗体,未结合1:200,4°C下过夜,然后与二级抗体结合,DAB染色。
公司优势:
1)质量:我司提供的的试剂为世界。
2)价格:价格实惠,量大从优。
4)服务:提供完整的售前、售后和售中服务。售后到底。
如需订购脑钠素/利钠肽抗体(BNP),请联系我们。
Anti-GAPDH (Ribbt Anti-glyceraldehyde-3-phosphate Dehydrogease )rat、mouse 3-磷酸甘油醛脱氢酶(大鼠、小鼠) |
Anti-GAPDH(Mouse Anti-glyceraldehyde-3-phosphate Dehydrogease ) (暂无现货) 3-磷酸甘油醛脱氢酶(小鼠来源) (暂无现货) |
Anti-GAPDH(Ribbt Anti-glyceraldehyde-3-phosphate Dehydrogease ) 3-磷酸甘油醛脱氢酶(兔来源免疫组化用抗体) |
Anti-GASR(Gastrin receptor) G蛋白偶联受体-2抗体 |
Anti-Gastrin(Bombesin) 胃泌素/蛙皮素抗体 |
Anti-Gastrin(Bombesin) 胃泌素/蛙皮素 |
Anti-Gax(growth arrest-specific homeobox) 生长终止特异性同源盒基因抗体 |